日常生活中总有朋友疑惑的问我:“腿疼、胳膊痛还能做B超?B超能看啥?”这样的疑问就涉就及到了肌骨超声。很多人都比较熟悉腹部、妇产、心脏等方面的超声检查,对于肌肉骨骼系统的超声检查了解甚少。
肌骨超声是近年来新兴的超声检查技术,主要用于评价皮肤、筋膜、肌肉、肌腱、韧带和周围神经等软组织以及关节和部分骨骼发生的病变。利用超声医生直接与患者面对面的检查方式结合患者病史及相关临床症状,大部分肌肉骨骼系统疾病均可得到准确的超声诊断,通过肌骨超声可以分析软组织疼痛产生症状的基础原因。与传统的检查方法相比,肌骨超声更具有对肌肉、肌腱、韧带等运动器官实时动态观察的独特优势,尤其是高频超声探头的应用,其对组织结构的细微分辨率显著提高,在临床应用的广度和深度不断扩大,其检查及治疗的适应症范围越来越广泛。其可以提供其他影像学检查无法得到的重要诊断信息,肌骨超声打开了诊断和治疗肌肉和骨骼相关疾病的新视野。下面简要介绍肌骨超声在临床中的应用:
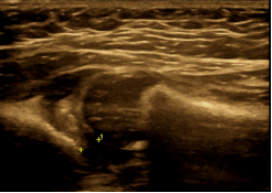
1、超声在肌肉、肌腱损伤中的应用:肌骨超声能够清晰显示肌间隔及细小的肌纤维束,用于判断肌肉及肌腱病变。肌骨超声在评估软组织损伤、肌肉微小撕裂、肌腱断裂、韧带损伤及神经的损伤方面具有独特优势。对于隐形骨折、撕脱的微小骨折、软骨骨折、骨骺坏死等也是具有优势,诊断并量化软组织、肌肉、肌腱、韧带损伤的严重性和损伤范围,并清晰显示肌肉、肌腱断裂的断端及回缩断端的部位。对于软组织、肌肉、肌腱的劳损、慢性退行性病变肌骨超声可显示其细微结构变化。
图1 微骨折
2、超声在关节方面的应用:超声检查可应用于全身各个关节,包括肩关节、肘关节、腕关节及手关节、髋关节、膝关节、踝关节和发育性髋关节发育不良。适用于关节肿胀、疼痛,活动运动,关节弹响等,判断关节周围肌肉、肌腱、韧带病变(如肌腱或韧带撕裂、肌腱炎性病变等),关节周围软组织病变(如占位性病变等)。超声探查关节积液是非常敏感和可靠的方法,不论是在关节线水平还是在关节隐窝和关节旁滑囊都能获得可获得满意的超声图像。并且可以诊断和鉴别诊断软组织牵涉性疼痛和关节旁病变导致的疼痛,在评估关节活动功能障碍与其周围肌腱、韧带等软组织结构生物力学性能等方面有重要作用。

图2. 髋关节发育不良
3、超声在外周神经的应用:肌骨超声对于神经的评估分辨率高,可清晰显示外周神经的神经束、神经束膜、神经外膜结构、神经粗细以及与周围组织的关系,准确诊断周围神经炎及外周神经损伤的原因、部位。主要扫查的外周神经包括:上肢的臂丛神经、正中神经、桡神经、尺神经;下肢的股神经、坐骨神经、胫神经、腓总神经、股外侧皮神经。常见疾病:神经损伤、神经卡压、神经炎、周围神经源性肿瘤等。
图3 腕管综合征
4、超声在免疫或代谢性疾病(如类风湿性关节炎、痛风性关节炎)中所致关节病变的应用:高频肌骨超声对关节滑膜增生、血流信息显示敏感,可以早期诊断和评估类风湿关节炎、痛风性关节炎的滑膜充血、关节积液、软骨关节面骨侵蚀的情况,用于评估类风湿性关节炎、痛风性关节炎的病变程度及治疗效果。
图4 距腓前韧带损伤
5、超声在肌骨系统肿瘤方面的应用:主要用于腱鞘囊肿、腱鞘巨细胞瘤、血管瘤、脂肪瘤、纤维瘤、皮脂腺囊肿、真、假性动脉瘤等肿瘤性病变。
肌骨超声检查的优势:
1. 肌骨超声可以通过被检查者检查部位的主动和被动活动观察肌肉、肌腱、韧带的细微结构病变,从而获得只有在运动或特殊体位状态时才可出现的异常和病变(如肌腱和神经脱位、肩峰撞击综合征等)。
2. 肌骨超声检查无禁忌症,无辐射损害,无需特殊准备,操作简便,重复性强,检查时间短,能迅速获得检查结果。
3. 超声设备(特别是便携机)应用灵活,可随时到床旁、手术室、急诊室及灾害现场检查。
4. 肌骨超声检查费用相对低,无痛苦,易被患者所接受。
肌骨超声不仅应用于肌骨系统疾病的诊断,而且与多学科合作开展超声引导下的微创“可视化”介入治疗,显著减少并发症、提高治疗效果。目前功能科开展的超声引导下治疗冻结肩、足底筋膜炎、腱鞘炎、滑囊炎、棘上韧带炎、筋膜炎、梨状肌综合征、腰椎小关节紊乱导致的下腰痛等微创治疗效果显著。在超声引导下的穿刺可以实时显示微创介入操作的全过程,从进针路径、靶器官治疗位置、周围软组织关系显示都非常直接,有效避免并减少相邻重要结构的损伤。超声引导下的介入治疗比盲穿更具安全性和精确性,在实际工作中,超声引导的介入治疗可明显减轻穿刺引起的疼痛。

图5 冻结肩治疗前 治疗中 治疗后
图6 脊神经后支阻滞 针尖至横突根部
图7 颈椎小关节源性疼痛 关节突关节注射
肌骨超声是评估肌肉骨骼相关疾病重要的检查手段,其目的是评估患者的疼痛和功能障碍、神经损伤类型、免疫性病变的活动性、软组织肿块和小儿骨关节异常等,可广泛应用于骨科、运动医学、疼痛科、康复科和风湿免疫科等,利用超声实时引导下的联合诊疗是目前及今后多学科发展的重要方向。
版权所有:91直播(中国)官方网址 蒙ICP备19002718号-1 蒙公安网备 15010302000221号
联系电话:0471-2576222 地址:内蒙古呼和浩特市赛罕区科尔沁南路59号
公交路线:3、50、102、121、123、206路公交车在第二附属医院新址站,下车即到。
网站建设:内蒙古世纪泓科技有限公司
扫描关注官方微信号