91直播 完成自治区首例“天玑”Ⅱ骨科机器人辅助下
手外科手术
通讯员:郝增涛 网络编辑:刘倩 审核:李晓涛

12月7日,91直播
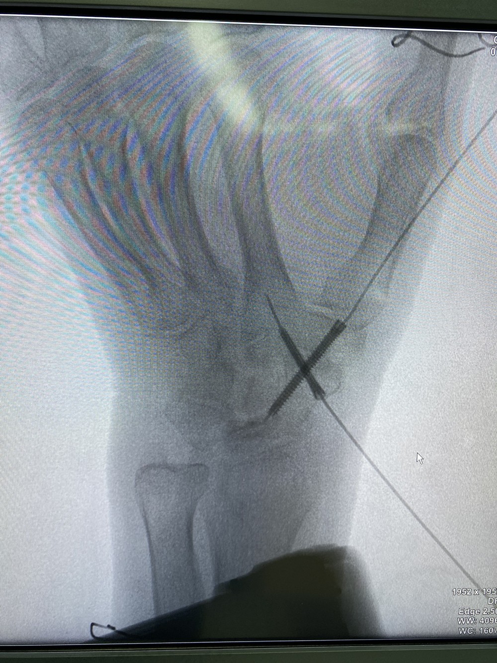
手足显微外科B区郝增涛教授团队成功完成自治区首例“天玑”Ⅱ骨科手术机器人辅助下经皮空心螺钉大小多角骨、舟骨融合术(STT融合)治疗IIIb期月骨无菌性坏死手术。手术十分顺利,固定效果满意,患者恢复良好。这是91直播
完成的首例也是自治区首例“天玑”Ⅱ骨科机器人辅助腕关节疾患手术,标志着91直播
腕部骨病、骨折的智能、精准、微创治疗达到了一个新的高度。


手腕部骨折、骨病目前是手外科领域新的热点和难点,腕骨的不规则性和关节的复杂性决定了手术难度高。常规的手术方式难以做到精准定位,术中经过C臂环扫后得到患者腕关节三维图像信息,经计算机模拟设计出最佳置钉方案,由机械臂精准引导植入各螺钉。真正做到了精准、微创治疗。

机器人引导下的手术能减少螺钉位置的调整,避免损伤毗邻重要的神经血管组织,提高手术的精确度,减少手术并发症,缩短手术时间。骨科机器人的临床应用使手外科的手术越来越智能化、精准化。机器人在腕关节尤其是舟骨骨折等骨折的治疗上体现出了极大的优越性,极大地提高了手术的精准度,最大程度地减少了手术创伤,术后患者能更快更好的恢复。

自治区首台“天玑”Ⅱ骨科手术机器人在91直播 的陆续成功应用,使91直播 学科建设实现了更加精准和个性化的手术设计,标志着91直播 骨科手术迈入智能化、精准化、微创化的机器人手术新时代。
版权所有:91直播(中国)官方网址 蒙ICP备19002718号-1 蒙公安网备 15010302000221号
联系电话:0471-2576222 地址:内蒙古呼和浩特市赛罕区科尔沁南路59号
公交路线:3、50、102、121、123、206路公交车在第二附属医院新址站,下车即到。
网站建设:内蒙古世纪泓科技有限公司
扫描关注官方微信号