北京积水潭医院李庭教授来91直播 会诊并指导手术
李凤颖(创伤外科中心A区)

为深入推动医院高质量发展及京蒙协作临床重点专科建设项目落地见效,进一步推动创伤外科学科建设持续发展,近日,91直播 客座教授、北京积水潭医院李庭教授受邀来91直播 会诊并指导手术。李庭教授高度重视91直播 创伤急救外科学科建设工作,为91直播 创伤外科中心A区一位右肱骨髁间骨折、右上尺桡关节脱位、右肘关节粉碎性骨折并患有严重基础病的患者进行会诊并指导手术。


患者孙某,65岁,患者于家中不慎摔伤右上臂,患者为求进一步诊治来91直播 就诊,被诊断为:右肱骨髁间骨折、右上尺桡关节脱位、肝血管瘤、单纯性肾囊肿。另外,患者有类风湿病史38年。手术治疗的目的是尽最大限度恢复肘关节的功能。

在李庭教授的指导下,91直播 创伤外科中心A区医护团队成功为患者实施手术。术后,患者一直积极配合医生的治疗方案,并严格遵守康复计划。通过一系列的康复训练和物理治疗,患者的身体状况逐渐好转,各项生理指标也逐渐恢复正常。


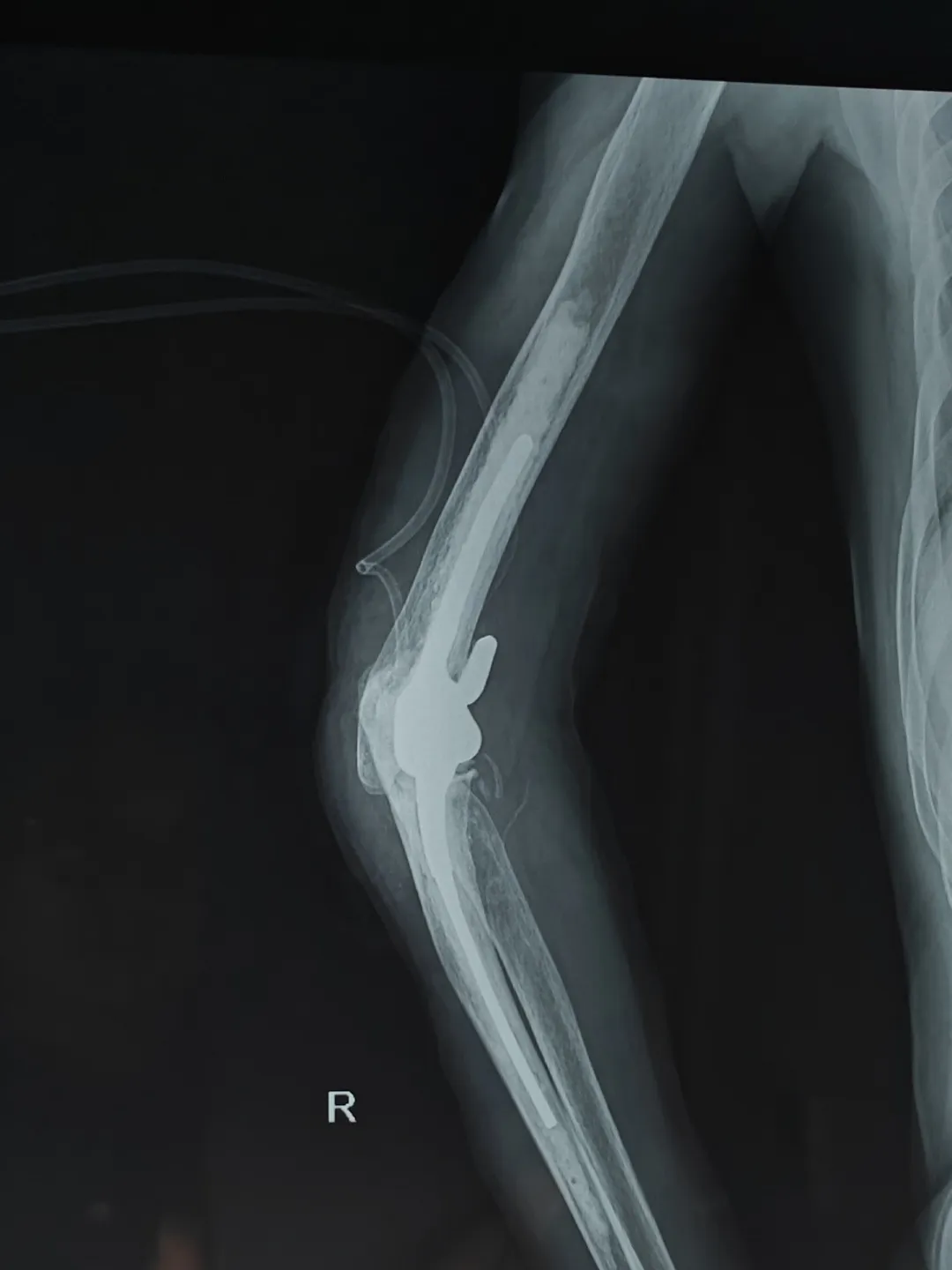
患者术后X光片
北京积水潭医院知名创伤骨科专家李庭教授,作为91直播 外聘教授,高度重视91直播 创伤急救外科学科建设,亲临91直播 进行全肘人工关节置换术的教学手术。整个手术过程行云流水,从细致的术前准备,到精确的手术操作,再到细致的术后管理,体现出李庭教授极高的专业水准和精益求精的手术理念。李庭教授每做一步都会对91直播 医生详细讲解,将多年的临床经验毫无保留地分享,这种传帮带的学术精神令人敬佩。李庭教授精湛的技术和丰富的经验,为91直播 创伤急救外科医生团队带来了难得的学习机会,规范了诊治流程,增加了四级手术率,同时也让患者和家属倍感安心。


在各级政府和卫生行政主管部门的大力支持下,医院高质量发展临床重点专科建设及京蒙协作项目稳步推进。李庭教授等客座教授的签约,让自治区百姓在家门口就可以享受到国内顶级专家的优质服务,标志着91直播 在引进国内优质医疗资源、推进先进技术下沉等方面又迈出了新步伐,也为推进91直播 创伤急救外科学科建设增添了新动力。同时,91直播 将借助临床重点专科建设高质量发展及京蒙协作平台的优势,着力人才培养和学科、特色专科建设,加强医院核心竞争力,推动医疗水平和服务能力迈上一个新的台阶,让自治区百姓能享受更便捷、更优质的医疗服务。
版权所有:91直播(中国)官方网址 蒙ICP备19002718号-1 蒙公安网备 15010302000221号
联系电话:0471-2576222 地址:内蒙古呼和浩特市赛罕区科尔沁南路59号
公交路线:3、50、102、121、123、206路公交车在第二附属医院新址站,下车即到。
网站建设:内蒙古世纪泓科技有限公司
扫描关注官方微信号